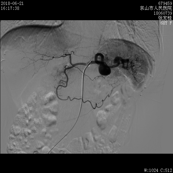
近日,放射介入科为一名脾动脉多发动脉瘤的老年患者成功实施了介入栓塞术,患者目前已康复出院。
脾动脉瘤是脾动脉扩张形成的动脉瘤,绝大多数为单发,且起病隐匿,不易诊断。脾动脉瘤破裂前多无明显症状,偶见左上腹部不适感,一旦出现明显左上腹或左季肋区疼痛、恶心、呕吐等症状,往往预示动脉瘤先兆破裂,动脉瘤破裂后会出现低血压、休克等表现,甚至死亡,故脾动脉瘤成了人体内的“定时炸弹”,随时随地就有可能要了病人的性命。
脾动脉栓塞术是一种新的微创介入治疗技术,可应用于脾动脉瘤、脾脏出血(外伤、术后再发出血)、脾亢、脾肿瘤等多种疾病的治疗,是脾脏疾病微创治疗的新发展。
该患者微创手术的顺利完成,标志着协和京山医院放射介入科在脾脏疾病的微创介入治疗方面又迈上了一个新的台阶,将为更多的患者排忧解难,让更多的病人获益。
(放射科 黄晓兵)

